
Зубний абсцес (флюс)
Причини розвитку Найчастіше абсцес виникає як ускладнення: Інфекція проникає в кореневий канал, поширюється за його межі та викликає накопичення гною...

Причини розвитку Найчастіше абсцес виникає як ускладнення: Інфекція проникає в кореневий канал, поширюється за його межі та викликає накопичення гною...

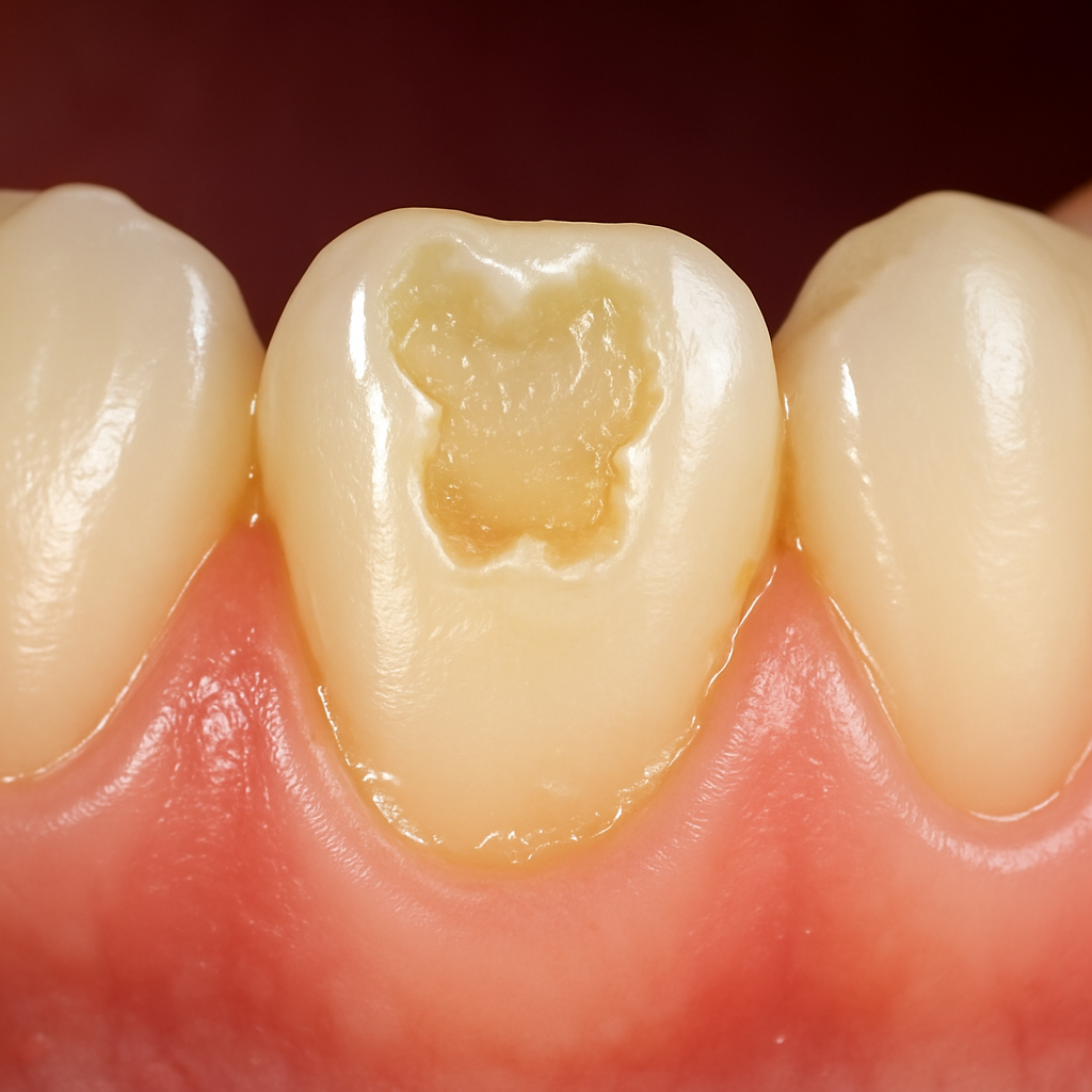
Що відбувається при гіпоплазії емалі При цьому порушенні емаль формується неповноцінно. Вона може бути тоншою, мати нерівномірну структуру або локальні...

Нам говорили: «Пий молоко - будеш сильним!» Але чи справді цей продукт настільки корисний для ротової порожнини? Сучасна стоматологія дає...

Склад меду: чому він солодкий Коли мова заходить про мед і зуби, усе не так солодко, як здається. У меді...

Карієс, чутливість, темні плями на зубах Симптоми: поява дірочок, неприємний запах з рота, підвищена чутливість до солодкого, холодного чи гарячого....

Гормональні зміни можуть спричиняти запалення ясен, сухість у роті та карієс. Дізнайтесь про вплив гормонів на здоров’я зубів

Як допомогти дитині подолати страх перед стоматологом? ArtDent ділиться порадами, що зроблять візит до лікаря спокійним і безболісним

Візити кожні 6 місяців дозволяють виявляти проблеми на ранніх стадіях — ще до появи болю або дискомфорту.

Це гострий, короткотривалий біль, який виникає у відповідь на подразник — холодне повітря, їжу або напій

Поступове руйнування захисного шару зуба, що може призвести до чутливості, болю та навіть втрати зубів

Що ж таке елайнери? Елайнери — це знімні ортодонтичні капи, які використовуються для поступового вирівнювання зубів. Вони виготовляються з прозорого...

Тонкий, але надзвичайно міцний мінералізований шар, який покриває коронкову частину зуба. Вона не містить живих клітин, тому не може самовідновлюватися.
